Kleine Äpfelchen

Stacks Image 47
Es gibt wohl keine Thematik, keine Erfahrung die spannender ist als die Geburt eines neuen Lebewesens. Auf dem Weg dorthin werden einem viele Hürden, Eindrücke, neue Erkenntnisse aber vor allem wundervolle Menschen begegnen, die dem Hand voll Fell, dem man einst ins Leben geholfen hat, dann ein Zuhause geben. Aus eigener Erfahrung kann ich nur sagen, was für ein spannender und vor allem schöner Weg dieser ist. Begleitet mich diesem kleinen großen Wunder - der Entstehung und Aufzucht neuen Lebens. Geht mit uns ein Stück des Weges von der Geburt unserer kleinen Äpfelchen bis zu ihren ersten Schritten in die weite Welt hinaus.

Es gibt wohl keine Erfahrung die spannender ist, als die Geburt eines neuen Lebewesens

Unsere Äpfelchen Würfe

  • H-Äpfelchen


    Unsere wundervollen H-Äpfelchen aus unserer kuscheligen und menschenbezogenen Quest haben am im Laufe Tages vom 27. März 2026 nach langer Eröffnungsphase von 10:07 Uhr bis 14:21 Uhr das Licht der Welt erblickt und sich gleich einen besonderen Platz in unseren Herzen gesichert.

    Alle kleinen Äpfelchen haben bereits eine liebevolle Familie gefunden, die sich riesig auf ihr Äpfelchen freut.

    • Timeline Trächtigkeit
      Scroll
      Die Reise beginnt
      Stacks Image 5378
      Das Abenteuer zu unseren kleinen H-Äpfelchen hat begonnen. Unser lustiges und kuscheliges Äpfelchen Quest ist läufig und wird, wenn alles nach Plan läuft, in den kommenden Wochen gedeckt.
      14. Januar 2026
      Deckzeitpunktbestimmung
      Stacks Image 5521
      An Tag 9 der Läufigkeit haben wir mit der Deckzeitpunktbestimmung begonnen um den optimalen Tag für den Deckakt zwischen Quest und Mondo zu ermitteln. Der Progesteronwert lag mit 4,44mg/ml kurz vor Ovulation.
      22. Januar 2026
      Deckakt mit Mondo
      Stacks Image 7919
      Nach vorheriger Deckzeitpunktbestimmung ging es nach Belgien und Quest wurde von dem sehr liebenswürdigen und menschenbezogenen Mondo gedeckt. Die beiden Lockentiere waren direkt ein Herz und eine Seele und es war wunderschön die beiden miteinander beobachten zu dürfen.

      Nun warten wir gespannt auf den ersten Ultraschall Mitte Februar 2026, in dem wir hoffentlich einen Blick auf unsere H-Äpfelchen erhaschen können.
      23. Januar 2026
      Mondo della Bassa Val d'Elsa
      Stacks Image 7943
      30. Januar 2026
      Mondo "starker Kerl mit weichem Herz"
      Das auch Mondos Besitzer von dem braunen Kuschelbär hin und weg sind, kann ihnen niemand verübeln. Sie beschreiben ihn als starken Kerl mit einem weichen Herzen, der besonders zu seiner weiblichen Bezugsperson eine enge Bindung hat.
      Er ist ein ausgesprochen liebenswürdiger Hund, der gerne bei seiner Familie ist und Besuch genauso gern willkommen heißt. Insgesamt also ein sehr angenehmer Familienhund, der das Leben seiner Familie bereichert.
      Zudem hat er ein sehr kräftiges lagottotypisches Fell, einen schönen Kopf und einen wunderschönen Gang.
      Am Strand jagt er zwar von einer Möwe zur nächsten wenn man ihn lässt, doch im Wald macht er in Zickzackkurs seine Arbeit als Trüffelsucher. Er kann nicht verleugnen, dass er aus einer sehr guten Trüffellinie in Italien stammt.
      30. Januar 2026
      Gemütlichkeit in Perfektion
      Stacks Image 7971
      Unsere kleine Kuschelmaus ist bereits an Tag 20 einer möglichen Trächtigkeit anhänglich und lässt sich am liebsten den ganzen Tag durchkraulen. Dem gehen wir natürlich liebend gerne nach. Wie kann man bei diesem wundervollen Schneeball auch ablehnen?
      12. Februar 2026
      H-Äpfelchen loading
      Stacks Image 7981
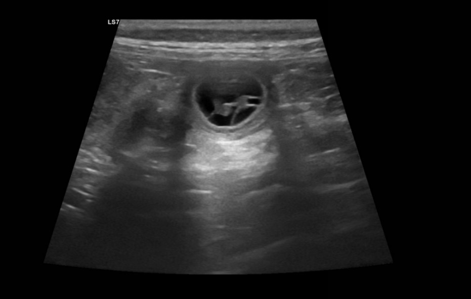
      An Tag 24 der Trächtigkeit unserer kuscheligen QuestiQuest konnten wir im Ultraschall einen ersten Blick auf die kleinen Äpfelchen und ihre schlagenden Herzen werfen.
      Wir freuen uns so sehr auf euch!
      16. Februar 2026
      Welpenbauch
      Stacks Image 8021
      So langsam zeichnet sich ein kleiner Welpenbauch bei unserem Äpfelchen ab. Nicht mehr lange und Questi kann ihre Trächtigkeit nicht mehr leugnen.
      21. Februar 2026
      Halbzeit
      Stacks Image 8045
      Über die Hälfte der Trächtigkeit unseres kleines Schneeballs ist bereits vorbei. Quest lässt es sich gut gehen und entspannt noch etwas.
      27. Februar 2026
      Tag 46 der Trächtigkeit
      Stacks Image 8033
      Die Zeit vergeht einfach wie im Flug. Kaum zu glauben, dass in gut zwei Wochen unsere kleinen H-Äpfelchen sich schon auf den Weg zu uns machen dürften. Mittlerweile hat Quest einen runden Welpenbauch, den sie sich gern den ganzen Tag kraulen lässt.
      10. März 2026
      Schneeball
      Stacks Image 8057
      An Tag 52 der Trächtigkeit macht Quest ihrem Spitznamen Schneeball alle Ehre. Ein wundervoller Schneeball mit kleinen Äpfelchen drin.
      16. März 2026
      Probeliegen
      Stacks Image 8069
      An Tag 58 der Trächtigkeit ist alles bereit für die Geburt unserer kleinen H-Äpfelchen. Noch ist hier alles sehr ruhig und entspannt, so dass es sicherlich noch etwas dauern wird, bis wir die Kleinen willkommen heißen dürfen.
      20. März 2026

      Um die Timeline der Trächtigkeit unseres Äpfelchen Quest und so den Weg zu unseren Mini-Äpfelchen zu sehen, haltet euer mobiles Endgerät quer

    • Bilder von der Geburt der Äpfelchen
      Es ist immer wieder aufregend und spannend, der Weg bis zur Geburt unserer Äpfelchen. Geht mit mir ein Stück des Weges von den ersten Wehen unserer Quest bis hin zur Geburt der G-Äpfelchen.

      Begleitet uns auf dieser spannenden Reise und seid quasi live dabei, wenn der Fruto del Manzano G-Wurf das Licht der Welt erblickt.
    • Die kleinen Äpfelchen im Fokus
    Open all Close all
  • G-Äpfelchen

    Die ersten Welpen unseres kuscheligen und menschenbezogenen Rettungshundes Quest haben am Morgen des 15. Februar 2025 nach langer Eröffnungsphase von 08:27 Uhr bis 11:34 Uhr das Licht der Welt erblickt und sich gleich in unsere Herzen geschlichen.

    Alle Äpfelchen haben bereits eine liebevolle Familie gefunden, die sich riesig auf sie freuen.

    • Timeline Trächtigkeit
      Scroll
      Wir planen für unsere ersten Quest-Äpfelchen
      Stacks Image 7749
      Mit großen Schritten gehen wir unserem G-Wurf und ersten Welpen unserer Quest entgegen. Unser lustiges und kuscheliges Äpfelchen Quest ist läufig und wird, wenn alles nach Plan läuft, in den kommenden Wochen gedeckt.
      05. Dezember 2024
      Rettungshund und Herzensbrecher
      Damit eure Begeisterung für Mimo genauso groß werden kann wie meine, haben wir seine Familie gebeten etwas über den braunen Lockenkopf zu erzählen.

      "Mimo ist ein charmanter junger Rüde, der mit seiner aufgeschlossenen und albernen Art jeden gleich um den Finger wickelt.

      Der Lockenkopf begleitet uns überall hin, ob zur Arbeit oder ins Restaurant, in den Urlaub, auf Feiern oder zum Shoppen in die Stadt, er ist immer dabei! Mimo ist sowohl Menschen als auch anderen Hunden gegenüber freundlich und aufgeschlossen. Er versteht sich sowohl mit Rüden, als auch mit Hündinnen und fühlt sich in großen Hundegruppen wohl. Generell ist er schnell zu begeistern und für jeden Spaß zu haben. Zuhause ist er verschmust und entspannt, draußen hingegen ein wirkliches Powerpaket.

      Außerdem ist er als Rettungshund bei der DLRG und sucht dort zusammen mit mir ehrenamtlich nach vermissten Personen."
      11. Dezember 2024
      Meike über Mimo
      Stacks Image 7769
      "Ich genieße es Mimo jederzeit bei mir zu haben, er ist ein treuer Freund und verlässlicher Begleiter! Ein Blick in seine schönen braunen Augen und die ganze Welt scheint in Ordnung!"
      11. Dezember 2024
      Deckakt mit Mimo
      Stacks Image 7784
      An Tag 11 der Läufigkeit und nach vorheriger Deckzeitpunktbestimmung wurde unser Äpfelchen Quest Amata fiore della mela von dem liebenswürdigen und wundervollen Comes Cordes Mimo gedeckt.
      Nun warten wir gespannt auf den ersten Ultraschall Mitte Januar 2025, in dem wir hoffentlich einen Blick auf unsere ersten Quest-Äpfelchen erhaschen können.
      15. Dezember 2024
      Über die Kunst des Wartens
      Stacks Image 7796
      Gespannt warten wir die ersten Wochen einer möglichen Trächtigkeit ab und hoffen darauf bald einen ersten Blick auf die kleinen "Questimos" werfen zu können. Wir üben uns also in Geduld und verbringen die Wartezeit mit intensiven Kuscheleinheiten, langen Spaziergängen und natürlich dem Rettungshundetraining, für das Quest so brennt.
      06. Januar 2025
      Kleine G-Äpfelchen loading
      Stacks Image 7808
      Quest ist tragend und wir erwarten kleine Quest/Mimo Welpen!
      An Tag 26 der Trächtigkeit konnten wir endlich einen Blick auf unsere kleinen G-Äpfelchen in Quests Uterus werfen. Ihr werdet schon jetzt so sehr geliebt und wir können es kaum erwarten euch kennen lernen zu dürfen.
      10. Januar 2025
      Kuschelschneeball
      Stacks Image 7820
      Wie kann man eine Trächtigkeit bei kalten Temperaturen verbringen als kuschelnd im Bett? Quest ist die Meisterin des Kuschelns und genießt das in ganzen Zügen.
      15. Januar 2025
      Welpenbauch
      Stacks Image 7832
      Die kleinen Äpfelchen in ihrem Bauch kann Quest an Tag 42 der Trächtigkeit nicht mehr verleugnen. Mittlerweile ist ein süßer Welpenbauch ihr ständiger Begleiter.
      26. Januar 2025
      Tag 48 der Trächtigkeit
      Stacks Image 7844
      Während unsere kleinen G-Äpfelchen in Quests Uterus fleißig wachsen, nimmt auch ihr Welpenbauch immer mehr zu. Quest lässt sich diesen am liebsten den ganzen Tag kraulen.
      01. Februar 2025
      Rettungshund Quest
      Stacks Image 7856
      Heute durfte unser kleiner Schneeball das letzte Mal das Rettungshundetraining besuchen, bevor sie in eine kleine Welpenpause geht. Bei schönstem Wetter hat Quest jede Minute genossen und sich nicht durch ihren Welpenbauch stören lassen.
      02. Februar 2025
      stolzer Welpenbauch
      Stacks Image 7868
      Voller Stolz präsentiert unsere kuschelige Questiquest immer wieder ihren Welpenbauch und lässt uns diesen ordentlich durchkraulen. Von außen kann man die Bewegungen der kleinen Äpfelchen bereits deutlich spüren, doch auf Video konnten wir dies noch nicht festhalten.
      04. Februar 2025
      Probeliegen
      Stacks Image 7880
      Mittlerweile findet man unseren Schneeball Quest immer öfter in der Wurfbox. Sie macht es sich gemütlich und entspannt die letzten Tage der Trächtigkeit, bis es in der kommenden Woche vermutlich auf die Geburt zu geht.
      09. Februar 2025
      Trächtigkeitsröntgen
      Stacks Image 7892
      Alle G-Äpfelchen auf einem Bild. Wir können es kaum erwarten euch kennen zu lernen, ihr kleinen wundervollen Seelen.
      10. Februar 2025

      Um die Timeline der Trächtigkeit unseres Äpfelchen Quest und so den Weg zu unseren Mini-Äpfelchen zu sehen, haltet euer mobiles Endgerät quer

    • Bilder von der Geburt der Äpfelchen
      Es ist immer wieder aufregend und spannend, der Weg bis zur Geburt unserer Äpfelchen. Geht mit mir ein Stück des Weges von den ersten Wehen unserer Quest bis hin zur Geburt der G-Äpfelchen.

      Begleitet uns auf dieser spannenden Reise und seid quasi live dabei, wenn der Fruto del Manzano G-Wurf das Licht der Welt erblickt.
    • Die kleinen Äpfelchen im Fokus
    Open all Close all
  • F-Äpfelchen

    Die letzten Äpfelchen unserer arbeitseifrigen Cuba haben sich am Morgen des 31. Juli 2024 von 08:35 Uhr bis 12:38 Uhr zu uns gesellt. Die wundervollen braun-weißen Cubalous haben schon jetzt einen ganz besonderen Platz in unserem Herzen.

    Alle Äpfelchen haben bereits eine liebevolle Familie gefunden, die sich riesig auf ihr Äpfelchen freuen.

    • Timeline Trächtigkeit
      Scroll
      Wir planen für unsere F-Äpfelchen
      Stacks Image 7463
      Mit großen Schritten gehen wir unserem F-Wurf und somit den letzten Cubawelpen entgegen. Unser lustiges und arbeitseifriges Äpelchen Cuba ist läufig und wird, wenn alles nach Plan läuft, in den kommenden Wochen gedeckt.
      10. Mai 2024
      Deckzeitpunktbestimmung
      Wie auch schon bei ihren bisherigen Würfen hat Cuba uns wieder einmal demonstriert, warum eine gute Deckzeitpunktbestimmung so wichtig ist.

      An Tag 13 der Läufigkeit liegt ihr Progesteronwert noch immer im Basalbereich und der optimale Zeitpunkt für einen Deckakt somit noch einige Tage entfernt. An dem sonst beschriebenen optimalen Zeitpunkt von Tag 10-12 der Läufigkeit befand Cuba sich noch im Proöstrus und ein Deckakt wäre nicht erfolgreich.
      Am Wochenende schauen wir daher erneut, ob wir uns langsam auf den Östros zu bewegen.
      22. Mai 2024
      Tag 16 der Läufigkeit
      Mit einem Progesteronwert von aktuell 3,56 ng/ml nähern wir uns so langsam der Ovulation und auch dem optimalen Deckzeitpunkt unserer Cuba. Um den perfekten Zeitpunkt zu ermitteln, werden wir Anfang der kommenden Woche einen weiteren Progesteronwert ermitteln.
      25. Mai 2024
      Unser Äpfelchen wurde gedeckt
      Stacks Image 7491
      An Tag 20 der Läufigkeit wurde unser Äpfelchen Cuba Apple fiore della mela von dem liebenswerten und aufgeweckten Alou Sul Cammino del Sole gedeckt.
      Nun müssen wir uns bis Ende Juni gedulden um dann hoffentlich einen ersten Blick auf kleine Cuba-Alou Welpen werfen zu können.
      29. Mai 2024
      Alou - Sonnenschein und Wasserratte
      Stacks Image 7503
      Ein paar Worte seiner Familie über den hübschen Sonnenschein:

      "Alou ist ein aufgeweckter, unternehmungslustiger und freundlicher Rüde. Er liebt es zu apportieren und seine Nase im Suchspiel einzusetzen. Im Umgang mit anderen Hunden ist er sehr unkompliziert. Alou begleitet uns sehr gerne beim Joggen, Wandern, Mountainbiken und hat auch die Platzreife zum Golfspielen erfolgreich abgelegt. Auch beim Segeln ist er immer dabei. Er liebt es im Wasser zu spielen und macht somit seinem Rassenamen alle Ehre. Seine Ruhephasen genießt er – oft gemeinsam mit seinem Stoffbären. Auch gemeinsames Kuscheln kommt nicht zu kurz."
      30. Mai 2024
      Hangry Äpfelchen
      Stacks Image 7515
      Cuba startet mit immer wiederkehrender Übelkeit in die dritte Trächtigkeitswoche. Das hindert sie aber nicht daran uns ihren großen Hunger mitzuteilen, denn am allerliebsten hätte sie mindestens die dreifache Futtermenge. Der Hunger scheint sie auch zu einem kleinen hangry Hormonmonster zu machen, welches in einem Moment mit alles und jedem kuscheln möchte und im anderen Moment von allem genervt ist. Wir haben dich für all das sehr lieb kleines hangry Äpfelchen.
      16. Juni 2024
      Kleine Cubalous loading
      Stacks Image 7527
      An Tag 29 der Trächtigkeit konnten wir im Ultraschall einen wunderschönen Blick auf unsere kleinen F-Äpfelchen, liebevoll Cubalous genannt, in Cubas Uterus werfen. Cuba ist tragend! Schon jetzt freuen wir uns riesig auf ihre letzte Welpen.
      27. Juni 2024
      Welpenbauch
      Stacks Image 7539
      Mittlerweile kann man auch schon einen kleinen Welpenbauch erkennen, in dem nun die letzten Äpfelchen von unserer Cuba heranwachsen. Nur noch ca ein Monat bis die kleinen Cubalous zu uns stoßen könnten.
      28. Juni 2024
      Tag 37 der Trächtigkeit
      Stacks Image 7551
      In der sechsten Woche der Trächtigkeit ist unser Äpfelchen noch so munter wie eh und je und genießt die Ausflüge in den Wald mit all ihren Vier- und Zweibeinern sehr. Noch mehr genießt sie allerdings die gestiegene Futtermenge, von der kann sie gar nicht genug bekommen unsere kleine Raupe Nimmersatt.
      05. Juli 2024
      entspannte Cubamaus
      Stacks Image 7563
      11. Juli 2024
      Tag 48 der Trächtigkeit
      Stacks Image 7571
      Am Welpenbauch kann man sich einfach nie satt sehen. Nicht mehr lange und man kann die kleinen Cubalous auch durch Cubas Bauchdecke fühlen. Wir freuen uns schon jetzt sooo sehr auf euch kleine Äpfelchen.
      16. Juli 2024
      Trächtigkeitsröntgen
      Stacks Image 7583
      Das erste Gruppenbild unserer kleinen Cubalous ist heute beim Trächtigkeitsröntgen entstanden. Wir können es kaum erwarten euch kennen zu lernen.
      23. Juli 2024
      Endspurt
      Stacks Image 7595
      Langsam aber sicher nähern wir uns dem Ende von Cubas letzter Trächtigkeit und damit der Geburt unserer kleinen F-Äpfelchen. Bilder von der Geburt werden wir euch währenddessen fast live zur Verfügung stellen.
      28. Juli 2024
      Willkommen kleine Cubalous
      Stacks Image 7607
      31. Juli 2024

      Um die Timeline der Trächtigkeit unseres Äpfelchen Cuba und so den Weg zu unseren Mini-Äpfelchen zu sehen, haltet euer mobiles Endgerät quer

    • Bilder von der Geburt der Äpfelchen
      Es ist immer wieder aufregend und spannend, der Weg bis zur Geburt unserer Äpfelchen. Geht mit mir ein Stück des Weges von den ersten Wehen unserer Cuba bis hin zur Geburt der F-Äpfelchen.

      Begleitet uns auf dieser spannenden Reise und seid quasi live dabei, wenn der Fruto del Manzano F-Wurf das Licht der Welt erblickt.
    Open all Close all
  • E-Äpfelchen

    Unsere wundervollen E-Äpfelchen haben sich am frühen Morgen des 07. März 2023 von 02:16 Uhr bis 06:31 Uhr nach einer langen Eröffnungsphase zu uns gesellt. Schon jetzt haben wir jeden einzelnen von ihnen fest in unsere Herzen geschlossen.
    Alle Äpfelchen haben bereits wundervolle Familien und ein zukünftiges Zuhause gefunden.

    • Timeline Trächtigkeit
      Scroll
      Wir planen für unsere E-Äpfelchen
      Stacks Image 7121
      Mit großen Schritten gehen wir unserem E-Wurf entgegen. Unser lustiges und arbeitseifriges Äpelchen Cuba ist läufig und wird, wenn alles nach Plan läuft, in den kommenden Wochen vom lieben Mimo gedeckt.
      12. Dezember 2022
      Rettungshund und Herzensbrecher
      Damit eure Begeisterung für Mimo genauso groß werden kann wie meine, haben wir seine Familie gebeten etwas über den braunen Lockenkopf zu erzählen.

      "Mimo ist ein charmanter junger Rüde, der mit seiner aufgeschlossenen und albernen Art jeden gleich um den Finger wickelt.

      Der Lockenkopf begleitet uns überall hin, ob zur Arbeit oder ins Restaurant, in den Urlaub, auf Feiern oder zum Shoppen in die Stadt, er ist immer dabei! Mimo ist sowohl Menschen als auch anderen Hunden gegenüber freundlich und aufgeschlossen. Er versteht sich sowohl mit Rüden, als auch mit Hündinnen und fühlt sich in großen Hundegruppen wohl. Generell ist er schnell zu begeistern und für jeden Spaß zu haben. Zuhause ist er verschmust und entspannt, draußen hingegen ein wirkliches Powerpaket.

      Außerdem ist er als Rettungshund bei der DLRG und sucht dort zusammen mit mir ehrenamtlich nach vermissten Personen."
      14. Dezember 2022
      Meike über Mimo
      Stacks Image 7141
      "Ich genieße es Mimo jederzeit bei mir zu haben, er ist ein treuer Freund und verlässlicher Begleiter! Ein Blick in seine schönen braunen Augen und die ganze Welt scheint in Ordnung!"
      15. Dezember 2022
      Deckzeitpunktbestimmung
      Heute hat Cuba uns wieder einmal demonstriert, warum eine gute Deckzeitpunktbestimmung so wichtig ist.

      An Tag 16 der Läufigkeit liegt ihr Progesteronwert noch immer im Basalniveau und der optimale Zeitpunkt für einen Deckakt somit noch einige Tage entfernt. An dem sonst beschriebenen optimalen Zeitpunkt von Tag 10-12 der Läufigkeit befand Cuba sich, ebenso wie heute, noch im Proöstrus und ein Deckakt wäre nicht erfolgreich gewesen.
      Gegen Ende der Woche schauen wir erneut, ob wir uns langsam auf den Östros zu bewegen.
      27. Dezember 2022
      Unser Äpfelchen wurde gedeckt
      Stacks Image 7164
      Am 02. Januar 2023 wurde unsere Cuba von dem lieben Mimo gedeckt. Einfach schön mit anzusehen, wie die beiden sich auf Anhieb verstanden haben. Cuba war direkt hin und weg von dem kleinen Mimo.
      Jetzt heißt es warten um hoffentlich Anfang Februar 2023 im Ultraschall einen ersten Blick auf unsere E-Äpfelchen erhaschen zu können.
      02. Januar 2023
      Cuba Kuschelmaus
      Stacks Image 7176
      An Tag 13 einer möglichen Trächtigkeit verbringt Cuba den Tag am liebsten auf der Couch oder an anderen bequemen Orten und ruht sich aus. Einfach schön, dass unsere Kuschelmaus so entspannt die ersten Wochen der Trächtigkeit genießt.
      15. Januar 2023
      Schneegestöber
      Stacks Image 7188
      Auch unsere Äpfelchen haben sich über den erneuten Wintereinbruch gefreut und den Schnee in vollen Zügen genossen.
      20. Januar 2023
      E-Äpfelchen loading
      Stacks Image 7202
      Stacks Image 7204
      Stacks Image 7206
      Die Nachricht auf die so viel von euch gewartet haben!

      An Tag 28 der Trächtigkeit konnten wir endlich einen Blick auf unsere kleinen E-Äpfelchen und ihre schlagenden Herzen in Cubas Uterus werfen. Einer der schönsten Momente dieser wundervollen Reise, wenn wir die Äpfelchen das erste Mal im Ultraschall erblicken können.
      30. Januar 2023
      Welpenbauch in the making
      Stacks Image 7221
      So langsam verschwindet Cubas schmale Taille um den wachsenden Äpfelchen zu weichen.
      01. Februar 2023
      Tag 37 der Trächtigkeit
      Stacks Image 7233
      Die Hälfte der Zeit bis zur Geburt unserer E-Äpfelchen ist schon vorüber und wir befinden uns bereits in der 6. Woche der Trächtigkeit.

      Ihren langsam wachsenden Welpenbauch kann Cuba nun nicht mehr verstecken, hindert er sie aber in keinster Weise daran mit unseren orangenen Lockenköpfen durch den Wald zu toben.
      08. Februar 2023
      Tag 42 der Trächtigkeit
      Stacks Image 7245
      Sobald die ersten Sonnenstrahlen raus kommen, zieht es uns mit den Äpfelchen nach draußen. Es ist aber auch einfach zu schön mit den Mäusen durch den Wald zu laufen.

      Cuba hat mit über 16kg schon einiges an Welpenbauch zugelegt. Die kleinen E-Äpfelchen trägt sie so sicher mit sich durch den wunderschönen Niederrhein.
      13. Februar 2023
      Die ersten Bewegungen
      Stacks Image 7257
      Heute haben unsere kleinen E-Äpfelchen sich das erste Mal auch für uns bemerkbar gemacht und wir konnten ihre zarten Bewegungen unter Cubas Bauchdecke fühlen.
      14. Februar 2023
      Just Happy
      Stacks Image 7269
      19. Februar 2023
      Tag 48 der Trächtigkeit
      Stacks Image 7277
      Gut gelaunt ging es heute für Cuba in den Wald und mit unseren E-Äpfelchen on Board über Stock und Stein. Das Strahlen unserer Grinsebacke färbt einfach ab, da kann man nur gute Laune haben.
      19. Februar 2023
      Tag 51 der Trächtigkeit
      Stacks Image 7289
      Den Bauch voller Äpfelchen in der Sonne liegend und Energie im Schlaf tankend fängt für Cuba die vorletzte Woche der Trächtigkeit an. Wir können unseren Blick von dem allerschönsten Welpenbauch nicht abwenden und genießen so die Zeit mit unseren Äpfelchen gerade in vollen Zügen.
      22. Februar 2023
      Tag 56 der Trächtigkeit
      Stacks Image 7301
      Entspannt starten wir in die vermutlich letzte Woche der Trächtigkeit unserer E-Äpfelchen. Wir sind gespannt, wann die Kleinen sich zu uns gesellen möchten.
      27. Februar 2023
      Sonnenbaden
      Stacks Image 7313
      Der Monat, in dem unsere kleinen E-Äpfelchen geboren werden, hat begonnen. Schöner hätte der März uns nicht begrüßen können, als mit diesen wohltuenden Sonnenstrahlen.
      01. März 2023

      Um die Timeline der Trächtigkeit unseres Äpfelchen Cuba und so den Weg zu unseren Mini-Äpfelchen zu sehen, haltet euer mobiles Endgerät quer

    • Bilder von der Geburt der Äpfelchen
      Es ist immer wieder aufregend und spannend, der Weg bis zur Geburt unserer Äpfelchen. Geht mit mir ein Stück des Weges von den ersten Wehen unserer Cuba bis hin zur Geburt der E-Äpfelchen.

      Begleitet uns auf dieser spannenden Reise und seid quasi live dabei, wenn der Fruto del Manzano E-Wurf das Licht der Welt erblickt.
    Open all Close all
  • D-Äpfelchen

    Unsere D-Äpfelchen haben schon an Tag 59 der Trächtigkeit von 19:04 Uhr bis 23:03 Uhr das Licht der Welt erblickt. Wir sind den sieben Äpfelchen schon jetzt verfallen und können kaum die Augen von ihnen lassen.

    Aufgrund der Farbgenetik der drei Äpfelcheneltern können wir schon jetzt sagen, wer der Papa von welchem Äpfelchen ist. Daher können wir auch voller Freude mitteilen, dass unsere Doppelbelegung erfolgreich war. Unsere wundervolle Me hat uns drei Rüden von dem braunen Avo und drei Rüden und eine Hündin von Hopkins geschenkt.

    Die kleinen Äpfelchen haben alle ein wundervolles Zuhause gefunden und bereichern das Leben ihrer neuen Familien.

    • Timeline Trächtigkeit
      Scroll
      Wir planen für unsere D-Äpfelchen
      Stacks Image 6733
      Unser lebensfrohes Goldstück Me ist läufig und wir planen nun für unsere D-Äpfelchen. Wie schon in unserem B-Wurf werden wir eine Doppelbelegung mit zwei verschiedenen Rüden anstreben. Eine aufregende Zeit liegt vor uns und unserem Äpfelchen Amaze Me.
      20. Februar 2021
      Unser Äpfelchen wurde gedeckt
      Stacks Image 6747
      Stacks Image 6749
      An Tag 16 der Läufigkeit wurde unser Äpfelchen Amaze Me Cuba Fruto del Manzano von den lieben und wundervollen Rüden Avo Piccolo Richiamo und Hopkins Cesare fiore della mela gedeckt. Wir hoffen nun auf Welpen aus beiden Verpaarungen Anfang Mai.
      07. März 2021
      Ein Kerl zum Verlieben
      Stacks Image 6764
      Stacks Image 6766
      12. März 2021
      12. März 2021
      Tag 15 der Trächtigkeit
      Stacks Image 6796
      Und schon starten wir, begleitet von wiederkehrender Übelkeit, in die dritte Trächtigkeitswoche. Unser Äpfelchen Me ist nach wie vor gut gelaunt, lässt es aber ruhiger angehen, als man es von ihr gewohnt ist. Sie kuschelt gerne und schläft viel.
      22. März 2021
      Tag 20 der Trächtigkeit
      Stacks Image 6808
      Warten auf besseres Wetter und den bevorstehenden Ultraschall nächste Woche. Wir sind schon ganz gespannt und hoffen dann einen ersten Blick auf unsere D-Äpfelchen werfen zu können.
      27. März 2021
      D-Äpfelchen loading
      Stacks Image 6822
      Stacks Image 6824
      Stacks Image 6826
      Stacks Image 6828
      Stacks Image 6830
      Stacks Image 6832
      Stacks Image 6834
      Stacks Image 6836
      Wir könnten nicht glücklicher sein über die bisher reibungslose Trächtigkeit unserer goldenen Me. An Tag 24 konnten wir endlich einen ersten Blick auf unsere D-Äpfelchen und ihre schlagenden Herzen werfen.

      Entspannt genießen wir die ersten Sonnentage und freuen uns nun auf die Welpen unserer lieben Me Anfang Mai.
      31. März 2021
      Aprilwetter mit Sonnenscheingemüt
      Stacks Image 6851
      Stacks Image 6853
      Stacks Image 6855
      Stacks Image 6857
      Unsere beiden Äpfelchen Cuba und Amaze Me genießen den überraschenden Wintereinbruch in vollen Zügen! Echte Schneehasen eben, die mit ihrem Sonnenscheingemüt trotz Minusgraden Wärme in unser Leben zaubern.
      07. April 2021
      Tag 37 der Trächtigkeit
      Stacks Image 6870
      Unsere Äpfelchen genießen die Zeit draußen mit uns unabhängig vom ständig wechselnden Wetter. Me versucht trotz wachsendem Bauch mit Cuba mitzuhalten und jagt mit ihr voller Elan über die Felder.
      13. April 2021
      Raupe Nimmersatt
      Stacks Image 6884
      Stacks Image 6886
      Stacks Image 6888
      Stacks Image 6890
      Die letzten drei Wochen der Trächtigkeit sind angebrochen und Me trägt nun ihren Welpenbauch und auch einiges an Gewicht mehr mit sich rum. Während wir uns an unseren Äpfelchen nicht satt sehen können, kann man Mes Hunger kaum stillen und so haben wir sie liebevoll Raupe Nimmersatt getauft.
      19. April 2021
      Tag 45 der Trächtigkeit
      Stacks Image 6905
      Stacks Image 6907
      Stacks Image 6909
      Für uns ist das definitiv der schönste Welpenbauch der Welt! Wir lieben euch schon jetzt unendlich ihr kleinen Äpfelchen.
      21. April 2021
      Tag 48 der Trächtigkeit
      Stacks Image 6924
      Stacks Image 6926
      Stacks Image 6928
      Ganz deutlich zeichnet sich der Welpenbauch an unserem Goldstück Me ab und lässt die Vorfreude auf unsere D-Äpfelchen ins Unermessliche steigen. Einfach unglaublich, dass die Kleinen in den nächsten zwei Wochen zu uns stoßen dürfen.
      24. April 2021
      Tag 53 der Trächtigkeit
      Stacks Image 6943
      Stacks Image 6945
      Stacks Image 6947
      Stacks Image 6949
      Stacks Image 6951
      Wer meint unser Äpfelchen Me würde in den letzten Wochen der Trächtigkeit lieber schlafen, als mit Cuba durch die Gegend zu flitzen, ist weit gefehlt. Ein Sprint übers Feld oder die Motivierteste bei der Online Hundeschule, sie ist weiterhin topfit.
      Mit großer Welpenkugel im Gepäck starten wir in die vielleicht letzte Woche der Trächtigkeit.
      29. April 2021
      Die Tage sind gezählt
      Stacks Image 6964
      Da sind sie - alle kleinen D-Äpfelchen auf einen Streich an Tag 57 der Trächtigkeit
      Wir freuen uns riesig auf euch und sind unendlich dankbar dieses Wunder erleben zu dürfen. Unserer liebenswürdigen Me geht es weiterhin hervorragend und sie läuft noch immer mit ungebremst guter Laune durch die Welt.
      03. Mai 2021

      Um die Timeline der Trächtigkeit unseres Äpfelchen Amaze Me und so den Weg zu unseren Mini-Äpfelchen zu sehen, haltet euer mobiles Endgerät quer

    • Bilder von der Geburt der Äpfelchen
      Anfang Mai ist es soweit und unsere D-Äpfelchen werden sich langsam aber sicher den Weg zu uns bahnen. Jede Geburt ist von neuem wieder aufregend, spannend und einzigartig. Auf dem Weg zu unseren D-Äpfelchen möchten wir euch gerne mitnehmen.

      Begleitet uns auf dieser spannenden Reise und seid quasi live dabei, wenn der Fruto del Manzano D-Wurf das Licht der Welt erblickt. So könnt ihr ein kleiner Teil dieses kleinen großen Wunders sein.
    • Gedanken bei der Wurfplanung
      Wir planen für unsere D-Äpfelchen

      Ihr habt unseren Weg bei unserem wundervollen B-Wurf schon begleiten können und bei unserer spannenden Doppelbelegung von Cuba mit Jimmy und Earl mitgefiebert.
      Nun möchten wir euch auf diese Reise mit unserer goldenen Amaze Me mitnehmen.

      Nach vielen Fortbildungen, Seminaren und Gesprächen haben wir uns auch für unsere D-Äpfelchen etwas ganz besonderes überlegt. Unser D-Wurf wird nicht nur einen Papa haben, sondern gleich zwei!

      Schon lange hat die FCI und der VDH den Weg für eine Doppelbelegung in einer Läufigkeit geebnet und auch der LRWD e.V. bietet uns diese Möglichkeit, die wir in 2019 schon genutzt haben.

      Mit der Verwendung von zwei Rüden für einen Wurf haben wir die Gentische Vielfalt unseres Wurfes gleich verdoppelt! Mit einer Trächtigkeit und Aufzucht können wir so quasi zwei Würfe großziehen und sorgen damit ohne Mehrbelastung unserer süßen Me für eine Erweiterung der genetischen Vielfalt dieser wundervollen Rasse und eine breitgefächerte Zucht!

      Wir freuen uns schon jetzt sehr auf die Verwirklichung unseres D-Wurfes diesen Sommer.
    Open all Close all
  • C-Äpfelchen

    Unsere C-Äpfelchen und damit die ersten Welpen unserer lustigen und immer gut gelaunten Me haben von 01:29 Uhr bis 05:24 das Licht der Welt erblickt. Wir sind schon jetzt unglaublich vernarrt in die kleinen Lockenköpfe und haben sie fest in unsere Herzen geschlossen.
    Alle Äpfelchen haben bereits wundervolle Familien und ein zukünftiges Zuhause gefunden.

    • Timeline Trächtigkeit
      Scroll
      Wir planen für unsere C-Äpfelchen
      Stacks Image 6312
      Unser orangenes Äpfelchen Amaze Me ist läufig und geht gerade die letzten Schritte zur Zuchtzulassung.
      Wenn alles nach Plan läuft, lassen wir unseren lustigen und liebenswürdigen Lockenkopf Mitte/ Ende Mai decken.
      12. Mai 2020
      Es wird konkreter
      Stacks Image 6324
      Die letzten Schritte zur Zuchtzulassung sind gegangen. Mal wieder hat unser Äpfelchen die Herzen aller im Sturm erobert und mit ihrem lieben Wesen begeistert.
      Jetzt warten wir auf den passenden Zeitpunkt um zum Auserwählten Rüden zu fahren.
      18. Mai 2020
      Deckakt mit Falco
      Stacks Image 6338
      Stacks Image 6340
      Stacks Image 6342
      Unser Äpfelchen Me wurde heute von dem lieben kleinen Falco gedeckt. Die Beiden haben sich auf Anhieb verstanden und wir hoffen nun auf unsere C-Äpfelchen Mitte/ Ende Juli.
      20. Mai 2020
      Der Papa unserer C-Äpfelchen
      Eine unglaublich schöne Beschreibung zu Falco haben wir heute von seiner Familie erhalten:

      "Immer selbstbewusst, lebendig und neugierig erobert Falco die Welt. Mit purer Lebensfreude zaubert er ein Lächeln in jedes Gesicht und erobert die Herzen der Menschen von denen er ausdauernd und meist erfolgreich Spiel- und Schmuseeinheiten erwartet. Dabei ermüdet der Ballwerfer, Falco selten. Neues wird interessiert erschnüffelt und mit ganzem Körpereinsatz belohnt. Darüber hinaus glänzt er mit allerbesten Ergebnissen bei allen gesundheitlichen Untersuchungen. Der kleine Kerl ist eben der Größte!"
      25. Mai 2020
      Der Sommer kommt
      Stacks Image 6363
      Me hat heute offiziell die Poolsaison eröffnet und verbringt ab sofort die heißen Tage im kühlen Nass.
      01. Juni 2020
      Tag 13 der Trächtigkeit
      Stacks Image 6377
      Stacks Image 6379
      Stacks Image 6381
      Auch wenn unser Äpfelchen schon an Tag 13 der Trächtigkeit mit Übelkeit zu kämpfen hat, lässt sie sich ihre gute Laune nicht nehmen. Nach einer kurzen Verschnaufpause ist unser Clown gleich schon wieder bereit für eine schöne Runde im Wald und Toben mit Cuba.
      02. Juni 2020
      Tag 19 der Trächtigkeit
      Stacks Image 6394
      Ganz subjektiv betrachtet könnte man behaupten, da schwindet langsam die Taille von unserem süßen Äpfelchen.
      Nun müsste die Implantation der Blastocyten auch in vollem Gange sein.
      08. Juni 2020
      Amaze Me ist trächtig
      Stacks Image 6408
      Stacks Image 6410
      Stacks Image 6412
      Stacks Image 6414
      Stacks Image 6416
      Heute an Tag 27 der Trächtigkeit konnten wir einen wunderschönen Blick auf unsere C-Äpfelchen und ihre schlagenden Herzen werfen.

      Voller Vorfreude und überglücklich freuen wir uns nun auf die ersten Welpen unserer Amaze Me Mitte/Ende Juli.
      16. Juni 2020
      33. Trächtigkeitstag
      Stacks Image 6431
      Stacks Image 6433
      Welpenbauch Alarm!
      So langsam kann man eine kleine Wölbung erahnen…
      22. Juni 2020
      Der Gute-Laune-Garant Amaze Me
      Stacks Image 6448
      Stacks Image 6450
      Auch am 40. Tag der Trächtigkeit rast unser Äpfelchen zusammen mit unserer Cuba über die Felder und durch den Wald. Unser goldener Gute-Laune-Garant nimmt ihren Welpenbauch einfach mit auf ihre Abenteuer. Einfach schön mit anzusehen.
      29. Juni 2020
      Äpfelchen-Kugel
      Stacks Image 6465
      Stacks Image 6467
      Stacks Image 6469
      Die Äpfelchen-Kugel kann Amaze Me mittlerweile nicht mehr auf erhöhten Appetit schieben. Am 41. Tag der Trächtigkeit lässt sich diese nicht mehr verleugnen und unsere C-Welpen werden nun auch äußerlich sichtbar.
      30. Juni 2020
      Tag 43 der Trächtigkeit
      Stacks Image 6484
      Stacks Image 6486
      Stacks Image 6488
      Darf ich vorstellen: Miss Amaze Me alias Blauwal alias Walross = glücklicher orangener Blauwal

      Gefühlt kann man dem Welpenbauch unseres orangenen Äpfelchens beim Wachsen förmlich zusehen.. noch ein wenig über zwei Wochen bis die Kleinen zu uns stoßen dürfen.
      02. Juli 2020
      Tag 49 der Trächtigkeit
      Stacks Image 6503
      Stacks Image 6505
      Die letzten Wochen brechen an und wir freuen uns jetzt schon unglaublich auf die kleinen Äpfelchen unserer Me.
      Mit 18,6kg hat Amaze Me schon einiges zu tragen und überlegt sich mittlerweile zweimal welche Wege wirklich notwendig sind. Auch die Wurfbox steht bereits seit einigen Tagen und wird gerne genutzt.
      08. Juli 2020
      Tag 52 der Trächtigkeit
      Stacks Image 6520
      Stacks Image 6522
      Stacks Image 6524
      Keine zwei Wochen mehr bis zum errechneten Geburtstermin unseres C-Wurfes und Amaze Me lässt sich trotz schweren Gepäcks nicht daran hindern uns in den Wald und auf die Felder zu begleiten. Trotzdem lässt sie es ruhiger angehen und kennt ihre Grenzen auf der Zielgeraden bis zur Geburt.
      Kaum zu glauben, dass die kleinen Äpfelchen schon in einer Woche bei uns sein könnten.
      11. Juli 2020
      Endspurt
      Stacks Image 6537
      Entspannt läuten wir den Endspurt ein und biegen auf die Zielgerade zur Geburt unserer C-Äpfelchen ein.
      An Tag 57 der Trächtigkeit verlässt Me der Hunger und sie ruht sich die meiste Zeit des Tages aus.
      16. Juli 2020

      Um die Timeline der Trächtigkeit unseres Äpfelchen Amaze Me und so den Weg zu unseren Mini-Äpfelchen zu sehen, haltet euer mobiles Endgerät quer

    • Bilder von der Geburt der Äpfelchen
      Es ist immer wieder aufregend und spannend, der Weg bis zur Geburt unserer Äpfelchen. Geht mit mir ein Stück des Weges von den ersten Wehen unserer Amaze Me bis hin zur Geburt der C-Äpfelchen.

      Begleitet uns auf dieser spannenden Reise und seid quasi live dabei, wenn der Fruto del Manzano C-Wurf das Licht der Welt erblickt.
    Open all Close all
  • B-Äpfelchen

    Unsere B-Äpfelchen haben das Licht der Welt erblickt.
    Von nun an haben 7 kleine Äpfelchen sich tief in unseren Herzen verwurzelt und immer ein Zuhause bei uns. Wir sind schon jetzt sehr verliebt in unseren B-Wurf.
    Alle Äpfelchen haben bereits wundervolle Familien und ihr zukünftiges Zuhause gefunden.

    • Timeline Trächtigkeit
      Scroll
      Die Planung wird konkreter
      Stacks Image 5970
      Seit heute ist unsere süße Cuba läufig und unser B-Wurf rückt damit in greifbare Nähe und wird konkreter.
      30. Mai 2019
      Unser Äpfelchen wurde gedeckt
      Stacks Image 5982
      Unser Äpfelchen Cuba Apple fiore della mela wurde am 10. Juni 2019 erfolgreich von dem liebevollen Rüden Moon Mystique Earl gedeckt.
      10. Juni 2019
      Deckakt mit Jimmy
      Stacks Image 5994
      Ganz nach Plan wurde unser Äpfelchen Cuba Apple fiore della mela am 11. Juni 2019 erfolgreich von dem wundervollen Rüden Don Rocco Cassanova fiore della mela "Jimmy" gedeckt.
      Wir hoffen nun auf unsere B-Äpfelchen aus diesen beiden tollen Verpaarungen Mitte August 2019.
      11. Juni 2019
      18./19. Trächtigkeitstag
      Stacks Image 6006
      Auch unserer süßen Cuba macht das heiße Wetter in den vergangenen Tagen zu schaffen. Wie in der vorherigen Trächtigkeit kommt nun auch immer wiederkehrende Übelkeit dazu, die auf die hormonelle Umstellung und Spannungen der Gebärmutter zurückzuführen sind. Die Implantation der Blastocyten müsste nun im vollen Gange sein.
      Wir sind gespannt auf die sonographische Untersuchung um den 30. Tag der Trächtigkeit.
      28. Juni 2019
      Cuba ist trächtig
      Stacks Image 6020
      Stacks Image 6022
      Stacks Image 6024
      Überglücklich konnten wir an Tag 32/33 der Trächtigkeit unsere B-Äpfelchen deutlich im Ultraschall erkennen und darstellen.
      Auch der Herzschlag der Kleinen war gut sichtbar.
      Wir freuen uns unglaublich unsere kleinen Äpfelchen um den 12. August begrüßen zu dürfen.
      12. Juli 2019
      41./42. Trächtigkeitstag
      Stacks Image 6039
      Stacks Image 6041
      Stacks Image 6043
      Stacks Image 6045
      Die Zeit vergeht wie im Flug und schon brechen die letzten 3 Wochen der Trächtigkeit an. Cuba wiegt mittlerweile 16kg und ihre Welpenkugel kann sie nun auch nicht mehr verstecken.
      21. Juli 2019
      43./44. Trächtigkeitstag
      Stacks Image 6060
      Stacks Image 6062
      Bei den Temperaturen die momentan draußen herrschen können wir nur spät abends lange raus und das genießen unsere Äpfelchen dann auch.
      Cubas Bauch wächst und wächst.
      23. Juli 2019
      51./52. Trächtigkeitstag
      Stacks Image 6075
      Unser Äpfelchen Cuba lässt sich durch nichts beirren und jagt trotz mittlerweile stolzen 18kg Körpergewicht voller Elan mit unserer jüngsten Amaze Me durch Wald und Feld. Jetzt sind es keine zwei Wochen mehr bis unser B-Wurf das Licht der Welt erblickt.
      Schon jetzt freuen wir uns riesig auf die kleinen Äpfelchen.
      31. Juli 2019
      53./54. Trächtigkeitstag
      Stacks Image 6089
      Stacks Image 6091
      Stacks Image 6093
      Stacks Image 6095
      Stacks Image 6097
      Stacks Image 6099
      An Tag 53/54 der Trächtigkeit läuft unsere immer gut gelaunte Cuba mit 18,8kg durchs Leben.
      Nun ist es nicht mehr lange, bis wir unsere B-Äpfelchen begrüßen dürfen. Die Wurfbox steht bereits und auch Cubas Bauch hat schon Haare lassen müssen.
      02. August 2019
      59./60. Trächtigkeitstag
      Stacks Image 6114
      Stacks Image 6116
      Stacks Image 6118
      Stacks Image 6120
      Lange kann es nicht mehr dauern bis unsere B-Äpfelchen sich auf den Weg zu uns machen.
      Seit gestern hechelt Cuba immer mal wieder und auch die Temperatur ist schon gefallen. Cuba weicht mir nun nicht mehr von der Seite und dank meinen wundervollen Arbeitskollegen kann ich die ganze Zeit bei ihr sein.
      08. August 2019
      61./62. Trächtigkeitstag
      Stacks Image 6135
      Stacks Image 6137
      Stacks Image 6139
      Stacks Image 6141
      Schon seit einigen Tagen kann man an Cubas Verhalten erkennen, dass unsere B-Äpfelchen nun nicht mehr allzu lange auf sich warten lassen werden.
      Geduld ist eine Tugend und unser Äpfelchen lehrt uns immer wieder gerne ein paar Lektionen zu diesem Thema. Nun heißt es abwarten und geduldig auf unseren B-Wurf warten.
      Die Geburt könnt ihr fast live unter Bilder von der Geburt mitverfolgen.
      10. August 2019
      Die Geburt unserer B-Äpfelchen
      Stacks Image 6156
      Stacks Image 6158
      An Tag 67/68 der Trächtigkeit geht nach langem Warten die Geburt unserer B-Äpfelchen los.
      Bis in die Nacht hinein erblicken 7 Welpen das Licht der Welt. Schon jetzt sind wir sehr verliebt in die 5 Rüden und 2 Hündinnen aus unserem B-Wurf.
      Cuba und den Welpen geht es sehr gut und auch Amaze Me schaut sich ihr Geschwister schon aus der Ferne an.
      16. August 2019

      Um die Timeline der Trächtigkeit unseres Äpfelchen Cuba und so den Weg zu unseren Mini-Äpfelchen zu sehen, haltet euer mobiles Endgerät quer

    • Bilder von der Geburt der Äpfelchen
      Geht mit mir ein Stück des Weges von den ersten Wehen unserer Cuba bis hin zur Geburt der B-Äpfelchen.

      Begleitet uns auf dieser spannenden Reise und seid quasi live dabei, wenn der Fruto del Manzano B-Wurf das Licht der Welt erblickt.
    • Gedanken bei der Wurfplanung
      Wir planen für unsere B-Äpfelchen

      Auch wenn der Sommer noch auf sich warten lässt, so fange ich schon jetzt an für unseren künftigen B-Wurf zu planen.

      Nach vielen Fortbildungen, Seminaren und Gesprächen haben wir uns für unsere B-Äpfelchen etwas ganz besonderes überlegt. Unser B-Wurf wird nicht nur einen Papa haben, sondern gleich zwei!

      Sicher fragt ihr euch jetzt, wieso wir diesen Weg gehen.
      Schon lange hat die FCI und der VDH den Weg für eine Doppelbelegung in einer Läufigkeit geebnet und auch der LRWD e.V. bietet uns diese Möglichkeit. Diese züchterisch wertvolle Vorgehensweise, wird bisher nur selten genutzt, doch wir möchten diesen Weg nun gehen.

      Mit der Verwendung von zwei Rüden für einen Wurf haben wir die Gentische Vielfalt unseres Wurfes gleich verdoppelt! Mit einer Trächtigkeit und Aufzucht können wir so quasi 2 Würfe großziehen und sorgen damit ohne Mehrbelastung unserer süßen Cuba für eine Erweiterung der genetischen Vielfalt dieser wundervollen Rasse und eine breitgefächerte Zucht!

      Wir freuen uns schon jetzt sehr auf die Verwirklichung unseres B-Wurfes diesen Sommer.
    Open all Close all
  • A-Äpfelchen

    Unsere A-Äpfelchen haben das Licht der Welt erblickt.
    Von nun an haben 6 kleine Äpfelchen sich tief in unseren Herzen verwurzelt und immer ein Zuhause bei uns.

    • Timeline Trächtigkeit
      Scroll
      Unser Äpfelchen wurde gedeckt
      Stacks Image 5649
      Unser Äpfelchen Cuba Apple fiore della mela wurde am 03. und 06. August 2018 erfolgreich von dem Rüden Solipse Esclusivo Valentino "Tino" gedeckt. Wir hoffen nun auf Welpen und somit unseren A-Wurf Anfang Oktober 2018.
      06. August 2018
      Tag 19 der Trächtigkeit
      Stacks Image 5661
      Unser Äpfelchen Cuba Apple fiore della mela an Tag 19 der Trächtigkeit. Mit anhaltender Morgenübelkeit, dank der hormonellen Umstellung und Spannungen in der Gebärmutter, findet sie das Leben momentan nicht so aufregend und toll wie sonst. Die Maus lässt sich jetzt erst einmal von uns verwöhnen, das hat sie sich verdient.
      22. August 2018
      Stacks Image 5671
      Stacks Image 5673
      Stacks Image 5675
      Stacks Image 5677
      Stacks Image 5679
      Stacks Image 5681
      Wir sind überglücklich, dass die Ultraschalluntersuchung dieses Wochenende unsere Vermutungen bestätigt hat - Cuba hat aufgenommen. Nun freuen wir auf unsere Mini-Äpfelchen Anfang Oktober 2018. Wir können es kaum erwarten die Kleinen kennen zu lernen.
      02. September 2018
      Stacks Image 5692
      Stacks Image 5694
      Stacks Image 5696
      Stacks Image 5698
      Stacks Image 5700
      Stacks Image 5702
      Stacks Image 5704
      Es sind nicht einmal mehr drei Wochen bis zum errechneten Wurftag unserer A-Äpfelchen. Mittlerweile kann unsere süße Cuba Apple fiore della mela ihre Trächtigkeit nicht mehr leugnen. Ein täglich wachsender Welpenbauch ziert nun ihren Körper und hindert sie in so mancher Liegeposition. Die Vorbereitungen für unseren ersten Wurf sind im vollen Gange und so steht seit heute auch die Wurfbox, mit der Cuba sich schon einmal vertraut machen kann.
      15. September 2018
      Stacks Image 5716
      Stacks Image 5718
      Stacks Image 5720
      Stacks Image 5722
      Stacks Image 5724
      Stacks Image 5726
      An Tag 52 ihrer Trächtigkeit läuft unser Äpfelchen Cuba Apple fiore della mela immer noch voller Elan übers Feld und durch den Wald. Nicht mehr lange und wir dürfen unseren A-Wurf begrüßen. Wir sind unglaublich aufgeregt, gespannt und freuen uns jetzt schon riesig auf die Kleinen!
      24. September 2018
      57. Tag der Trächtigkeit
      Stacks Image 5742
      Stacks Image 5744
      Stacks Image 5746
      Stacks Image 5748
      Stacks Image 5750
      Stacks Image 5752
      Auch bei uns ist der Herbst eingezogen und Cuba freut sich noch immer riesig auf unsere Spaziergänge durch den Wald. An Tag 57 der Trächtigkeit hat sie mit mittlerweile 18kg einiges zu schleppen, lässt es aber wie das einfachste der Welt aussehen. Unser süßes Äpfelchen sucht nun noch öfter unsere Nähe und hechelt zwischendurch schon einige Minuten. Wir sind gespannt, wann die Mini-Äpfelchen sich auf den Weg machen.
      29. September 2018
      63. Tag der Trächtigkeit
      Stacks Image 5766
      Wir nähern uns der Zielgeraden auf dem Weg zur Geburt unserer kleinen Äpfelchen. An Tag 63 zeigt Cuba schon deutliche Anzeichen einer bevorstehenden Geburt. Ihre Temperatur ist bereits deutlich gesunken und sie hechelt schon den ganzen Tag munter vor sich hin. Allzu lange kann es nicht mehr dauern.
      05. Oktober 2018

      Um die Timeline der Trächtigkeit unseres Äpfelchen Cuba und so den Weg zu unseren Mini-Äpfelchen zu sehen, haltet euer mobiles Endgerät quer

    • Bilder von der Geburt der Äpfelchen
      Geht mit mir ein Stück des Weges von den ersten Wehen unserer Cuba bis hin zur Geburt der A-Äpfelchen.

      Begleitet uns auf dieser spannenden Reise und seid quasi live dabei, wenn der Fruto del Manzano A-Wurf das Licht der Welt erblickt.
    • Die A-Äpfelchen im Fokus
      Die Zeit von der Geburt unserer Äpfelchen bis zu ihrem Auszug vergeht viel zu schnell. Hier haben wir ein paar Eindrücke von der Aufzucht unserer Welpen festgehalten.
    Open all Close all
Alle öffnen Alle schließen
Vom ersten Atemzug bis zum Auszug in die Welt hinaus
Stacks Image 61
Stacks Image 63
Stacks Image 77
Stacks Image 59
Stacks Image 57
Stacks Image 81
Stacks Image 3387
Stacks Image 7999

Wir sind Mitglied im LRWD e.V.
Lagotto Romagnolo Wasserhunde Deutschland

Stacks Image 7991